Odontoiatria Estetica Villa Donatello

L’Odontoiatria Estetica è una disciplina che si occupa di risolvere gli inestetismi del sorriso che sono diventati oggi fortemente condizionanti nella vita di relazione

Odontoiatria Estetica

Patologie e trattamenti

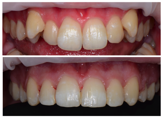
È possibile migliorare il sorriso attraverso lo sbiancamento, con l’ortodonzia, con piccole modifiche della forma dei denti che aggiungono materiali resinosi dello stesso colore del dente o con altre tecniche (faccette o corone in disilicato di litio/ceramica).

Le faccette, ad esempio, sono dei sottili gusci di ceramica che vengono applicati in modo adesivo alla superficie esterna del dente. Attraverso una precedente simulazione virtuale del sorriso (Digital Smile Design) è possibile mascherare le imperfezioni legate al colore, alla forma o alla posizione.


Alcuni esempi di casi risolti dalla nostra équipe
Skip to content